

抽出
そもそも濃度は

ドライ
加工
- 成長因子が
さらに濃縮 - 炎症物質除去


美容治療は通常、選択肢として
複数あることが普通です。
でも、他の治療では代替できない、
PPR注射でないとできない
治療部位があります。
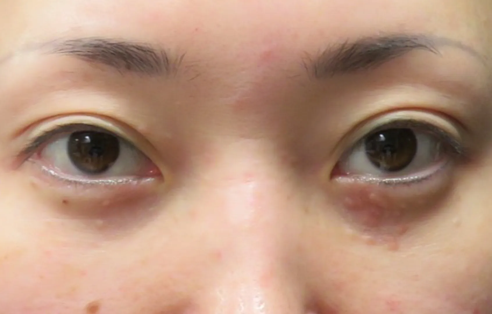
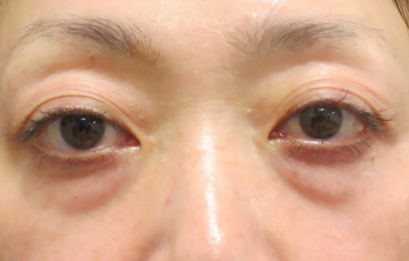
目頭のクマ治療もそのひとつ!
目頭はアルロン酸や脂肪注入では
治療できない部位です。
レーザーやピーリングも治療不可。
でも、PPR注射なら
目頭のくすみの改善や
へこみの修正ができます。


眼輪筋(がんりんきん)は目の周りの筋肉です。眼輪筋は加齢やスマホやパソコンを長く見ることで徐々に弱まります。弱くなるとたるみや目頭のくぼみが現れることがあります。くぼみができると、老けた印象だけでなく、険しい雰囲気になります。このような目頭のクマは、PPR注射改善できます。

メガネの鼻当て部分で黒ずみやシミができる人は多いです。これは、パッドの摩擦や圧迫で皮膚が慢性的に炎症を起こし、その後の色素沈着が長く続くためです。目の周りはレーザーやピーリングも治療不可。でも、PPR注射ならくすみの改善やへこみの修正ができます。

奥目の多くは遺伝によるものですが、目の疲れや加齢で後天的に奥目になることもあります。奥目は目が奥深く位置し、影ができるため目が小さく見えたり、老けて見えたりすることがあります。しかし、目頭のくまを改善すれば、その印象は変わります。

プルージュ リジェン クリニック理事長は、PRPがまだ一般的に知られていない2010年よりPRPを使った再生治療の研究を重ねてきました。
その研究が、2012年に組織再生工学の国際的ジャーナル「Tissue Engineering」で論文が紹介されました。
さらに本法はアメリカで特許を取得しております。
そういった海外での評価も我々が治療の効果に自信をもっておすすめできる理由です。

STEP 1
お悩みになっている状態や部位についてできるだけ詳しくお聞かせください。症状に対して、最適な治療法をご提案いたします。

STEP 2
PRP作製用の採血を行います。採血量はご希望の効果と部位によって変わります。また、事前に血液検査が必要になる場合がございます。

STEP 3
採取した血液を遠心分離器にかけて、PRPを抽出します。

STEP 4
共有したイメージ通りになるよう、熟練した医師が丁寧に注入致します。
| 時 間 | 1時間 |
|---|---|
| 麻 酔 | 局所麻酔、静脈麻酔(オプション) |
| 通 院 | 必要なし |
| ダウン タイム |
まれに注入部位や周辺が腫れることがありますが3〜4日で治まります。 注入後、1週間は注入部位の強い圧迫を避けてください。 |
| 入浴・洗顔 |
|
| 禁 忌 |
|
| 起こりうる リスク |
効果の個人差、過度のふくらみ、左右差、感染等 |
本治療はご自身の肌再生効果を利用しますので、注入後、約1ヶ月から再生反応が開始し、完了するまでに6か月~12か月程度かかります。
なお、PRP注射の特性上、施術後1か月前後で一時的に「元の状態に戻ったように感じる」ことがあります。これは、施術直後に生じる腫れや炎症反応が落ち着くことによるもので、再生反応が始まる前の正常な経過です。
その後、PRPに含まれる成長因子の作用により組織の再生が進み、時間をかけて徐々に効果が現れていきます。
2025年時点で、PRP注射開始時から6年間経過しておりますが、その時期に施術させて頂いたお客様のほぼすべての方において、効果の80%以上が維持されています。
目頭が内側にくぼんでしまい影を作っている状態を指します。これは目の周りの筋肉の衰えなどによって引き起こされることが多いです。
加齢は主な原因の一つですが、遺伝や体質、疲れ目を引き起こすなどの生活習慣、疾患など様々な要因が関与していることもあります。
可能です。目の周りの治療を同時に行うことで見た目は劇的に若々しくなりますのでオススメいたします。
本治療はご自身の肌再生効果を利用するため、年齢により効果が薄れてきたと感じる場合は再治療可能です。多くの方は2年~3年以降に再施術をされる方が多いです。
Reservation
初診も再診も
LINE予約がオススメ!
やり取りもご予約の確認もできて便利!
WEB予約
メールの場合は返信にお時間をいただく場合がございます。お急ぎの方はLINEにてお問い合わせください。
※未成年の方(18歳未満の方)は親権者同意書が必要となります。ダウンロードはこちら
当ページは、医療広告に関する法令および厚生労働省が定めるガイドライン(2018年6月改正・施行)を遵守し、プルージュ リジェン クリニック理事長 岡本慎一医師による監修のもと掲載しています。症例写真を掲載する際には、施術の内容説明に加えて、想定されるリスク・副作用、ならびに費用についても明記しております。ご利用の皆様には一部情報の変更や制限によりご不便をおかけする場合もございますが、正確かつ適正な情報提供のため、ご理解賜りますようお願い申し上げます。