

抽出
そもそも濃度は

ドライ
加工
- 成長因子が
さらに濃縮 - 炎症物質除去

やっていないように見えて、
印象は確実に
上がる。
美しさ、自然さ、肌質改善を
長期持続でさりげなく。


※2025年5月までのグループ内PRP注射治療累計実績

美容医療の選択肢が増えた今、
「悩みや老け顔解消をしたい、でも整形感は避けたい」
という男性は非常に多い。
そんな方にこそ選ばれているのが再生医療のPRP注射 。
自分の血液から抽出した再生因子を活用し、
目の下のクマやほうれい線、加齢サインなどのお悩みを改善させます。
周囲に気づかれずに印象が変わる――
それが、「PRP注射 for MEN」の魅力
です。

実際の変化は症例写真で
ご確認ください
男性の美容には、
“再生医療”という選択がベスト。
シワやたるみを単に充填するのではなく、
肌そのものを改善して、整える。
それがPRP注射の真価です。



PRP注射は再生医療のため、自分の肌自体が美肌に生まれ変わり、
周辺部位とも自然に調和します。

※2025年5月までのグループ内PRP注射治療累計実績
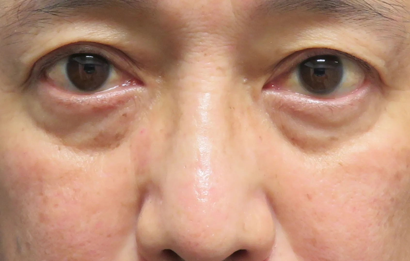
青グマ
目の下の皮膚を横に引くと
クマの色が薄くなる場合
血行不良が原因
黒グマ
上を向くとクマの色が
薄くなる場合
ハリや弾力の減少が原因
茶グマ
何をしても消えない
シミ・くすみが原因
PRP注射は、どの種類のクマも、治療できます。
さらに、脱脂術(余分な脂肪除去)を併用することで、クマの物理的な原因も除去でき、高い改善効果が期待できます。
Before
After
深くなったほうれい線のシワを和らげます。
女性のほうれい線治療のように、完全に消すのではなく、違和感のない自然な仕上がりで印象を若返らせるため、男性に人気の高い治療です。

PRP注射による肌再生効果により、シワやへこみの改善からボリューム
アップまで、お顔のお悩みを改善できます。
異物を入れない自身の血液による再生効果により、気になる部位をナチュラルにボリュームアップ。持続期間も5年以上と長期に効果を得られます。
加齢による老化や、先天性の気になる見た目、他院での治療後の修正など、PRP注射の肌再生効果で改善できます。
PRP注射 for MENで使用する成長因子は、多血小板血漿(PRP=Platelet Rich Plasma)と呼ばれ、血小板を多く含んだご自身の血液から採取されるものです。血小板の内部には、組織の修復をする天然の成長因子が多量に含まれています。その成長因子が真皮細胞を活性化することで、皮膚そのものを修復・再生します。
※医療用成長因子(FGF)を微量配合しております。



当院のPRPは独自の遠心分離法により通常の10倍以上の濃度の成長因子を抽出しております。また、注入部位やお求めの効果、肌質などにより、PRP治療に精通した医師が、お客様ごとに医療用成長因子(FGF)の最適な濃度を6種類の中から判断して、配合しております。

当院のPRP注射は、ご自身の皮膚が再生されるため、効果が5年以上と長期にわたって持続します。5年後も効果の半分以上は残るので、半分の効果でご満足いただける方にとっては半永久とも言えます。

当院では、理事長が開発した独自の遠心分離技術により、 成長因子の含有量が安定した高品質のPRPを作製することが可能です。

岡本慎一理事長のPRP治療に関する研究論文が、2012年に組織再生工学の国際的ジャーナル「Tissue Engineering」に掲載されました。また、同治療法は2014年にアメリカで特許も取得しております。

注入部位に、極細の針で局所麻酔を行い、痛みを感じないようにします。
笑気と呼ばれるガスを吸うことで、リラックスして施術を受けられます。
痛みの原因となる神経を一時的にブロックして、痛みを感じにくくします。
痛みは少ないですが、針を使用いたしますので無痛での施術ではございません。上記の麻酔を複合的に組み合わせ、極力痛みを感じないように配慮しております。(上記はすべて無料)
※上記から医師が最適な麻酔を選択いたします。
静脈麻酔は確実に無痛でおこないたい方のために、PRPを作製する際に採血した同ルートから導入して、お眠りいただいているうちに、施術を終わらせます。


STEP 1
お悩みになっている状態や部位についてできるだけ詳しくお聞かせください。症状に対して、最適な治療法をご提案いたします。

STEP 2
PRP作製用の採血を行います。採血量はご希望の効果と部位によって変わります。また、事前に血液検査が必要になる場合がございます。

STEP 3
採取した血液を遠心分離器にかけて、PRPを抽出します

STEP 4
共有したイメージ通りになるよう、熟練した医師が丁寧に注入致します
| 時 間 | 2時間(採血~注入まで) |
|---|---|
| 麻 酔 | 局所麻酔、笑気麻酔、神経ブロック、静脈麻酔(オプション) |
| 通 院 | 必要なし |
| 赤み、内出血 | 穿刺深度が深い場合は施術後に肌が赤みや内出血が2~3日生じることがあります。 |
| 入浴・洗顔 |
|
| 運 動 | 翌日以降に行ってください。 |
| 施術部位への刺激 | 当日は顔をこすらないようにしてください。 |
| その他 |
|
| 禁 忌 |
|
| 起こりうるリスク | 効果の個人差、イメージの相違、過度のふくらみ、しこり、感染等 |

89,000円
(税込97,900円)
45,000円
(税込49,500円)
98,000円
(税込107,800円)
50,000円
(税込55,000円)
198,000円
(税込217,800円)
99,000円
(税込108,900円)
<リタッチ注入について>●当院でひたい・こめかみ丸み形成を受けられた方 ●2回目以降同部位をご希望の方 ●2回目以降であれば何度でも上記値段で可能 ●ひたいシワやこめかみ凹みのみの注入の場合は不可
180,000円
(税込198,000円)
180,000円
(税込198,000円)
89,000円
(税込97,900円)
270,000円
(税込297,000円)
336,000円
(税込369,600円)
151,300円
(税込166,500円)
77,000円
(税込84,700円)
166,600円
(税込183,300円)
85,000円
(税込93,500円)
336,600円
(税込370,300円)
168,300円
(税込185,200円)
<リタッチ注入について>●当院でひたい・こめかみ丸み形成を受けられた方 ●2回目以降同部位をご希望の方 ●2回目以降であれば何度でも上記値段で可能 ●ひたいシワやこめかみ凹みのみの注入の場合は不可
288,000円
(税込316,800円)
288,000円
(税込316,800円)
142,000円
(税込156,200円)
432,000円
(税込475,200円)
537,000円
(税込590,700円)
35,000円〜
(税込38,500円)
本治療はご自身の肌再生効果を利用しますので、注入後、約1ヶ月から再生反応が開始し、完了するまでに6か月~12か月程度かかります。
なお、PRP注射の特性上、施術後1か月前後で一時的に「元の状態に戻ったように感じる」ことがあります。これは、施術直後に生じる腫れや炎症反応が落ち着くことによるもので、再生反応が始まる前の正常な経過です。
その後、PRPに含まれる成長因子の作用により組織の再生が進み、時間をかけて徐々に効果が現れていきます。
2025年時点で、PRP注射開始時から6年間経過しておりますが、その時期に施術させて頂いたお客様のほぼすべての方において、効果の80%以上が維持されています。
同部位の再治療は6か月以上で、別部位ですと期間をあける必要はございません。
PRP注射は、ヒアルロン酸のように単にボリュームをだすだけではなく、肌そのものを再生し、肌質も改善します。またヒアルロン酸では凹凸になりやすい額やホホの凹みなど、広範囲の凹みに対してはPRP注射が最適です。
一般的に成長因子は、20代前半をピークに活性率が徐々に減少していくと考えられています。 しかし高濃縮したPRPを長期持続させることにより、自分の体質の範囲内で最大限の再生力を利用して肌を若返らせることが可能です。 なお、より高い治療効果をご希望の方は、成長因子でアシストすることも可能です。
PRP注射は肌質改善とボリュームアップですので、たるみによる症状と判断した方は他のたるみ治療と同時に行うとより効果的な若返り効果が得られます。
ご自分の血液を使用しますので、基本的には年齢や体質に関係なくすべての患者様にお受け頂けます。 ただし、悪性腫瘍の既往がある方はお受けできない可能性がございますので、事前に医師にご相談ください。
Reservation
初診も再診も
LINE予約がオススメ!
やり取りもご予約の確認もできて便利!
WEB予約
メールの場合は返信にお時間をいただく場合がございます。お急ぎの方はLINEにてお問い合わせください。
※未成年の方(18歳未満の方)は親権者同意書が必要となります。ダウンロードはこちら
当ページは、医療広告に関する法令および厚生労働省が定めるガイドライン(2018年6月改正・施行)を遵守し、プルージュ リジェン クリニック理事長 岡本慎一医師による監修のもと掲載しています。症例写真を掲載する際には、施術の内容説明に加えて、想定されるリスク・副作用、ならびに費用についても明記しております。ご利用の皆様には一部情報の変更や制限によりご不便をおかけする場合もございますが、正確かつ適正な情報提供のため、ご理解賜りますようお願い申し上げます。